Blepharoplasty
Procedures are performed by board-certified by the American Board of Plastic Surgery and the American Board of Surgery plastic surgeon, Dr. Brian Joseph, located in Orlando, Florida.
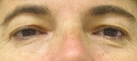
Patient 1
Before and 3 months post op upper and lower blepharoplasty. 56 yr old male
Individual results may vary.
Click here to contact Dr. Brian Joseph and set up a consultation.
Patient 2
Before and 3 months post upper blepharoplasty 54yr old female
Individual results may vary.
Click here to contact Dr. Brian Joseph and set up a consultation.
Patient 3
Individual results may vary.
Click here to contact Dr. Brian Joseph and set up a consultation.
Patient 4
Individual results may vary.
Click here to contact Dr. Brian Joseph and set up a consultation.
Patient 5
Individual results may vary.
Click here to contact Dr. Brian Joseph and set up a consultation.
Patient 6
Individual results may vary.
Click here to contact Dr. Brian Joseph and set up a consultation.
Patient 7
Individual results may vary.
Click here to contact Dr. Brian Joseph and set up a consultation.
Patient 8
Individual results may vary.
Click here to contact Dr. Brian Joseph and set up a consultation.
Patient 9
Individual results may vary.
Click here to contact Dr. Brian Joseph and set up a consultation.
Patient 10
Individual results may vary.
Click here to contact Dr. Brian Joseph and set up a consultation.




























